
Technik
Studie zu Orgelspielen und geistiger Leistungsfähigkeit gestartet
Das Orgelspiel mit seiner geforderten Koordination von Händen und Füßen gilt als durchaus anspruchsvoll. Ob sich dadurch positive Effekte auf die Gehirnentwicklung niederschlagen, versucht nun das Diö...

Technik
Ozeanversauerung könnte Lachsspermien lähmen
Die globale Klimaerwärmung könnte die Fortpflanzung von Lachsen und Seeigeln beeinträchtigen. Grund ist die mit dem allgemeinen Kohlendioxidanstieg in der Atmosphäre einhergehende Wasserversauerung, t...

Technik
Vererbtes Cholesterin-Risiko schon im Kindesalter erkennen
Eines von 250 Kindern hat aufgrund erblicher Ursachen von Geburt an erhöhte LDL-Cholesterinwerte. Dadurch ergibt sich ein 20-fach ...

Technik
CD-Labor zu sicheren und leichteren Zügen gestartet
Die Familie der in Österreich eingerichteten Christian-Doppler(CD)-Labore ist um ein Mitglied reicher: Jenes an der Technischen Un...

Technik
Marie Skłodowska Curie-Maßnahmen: 12,6 Mio. Euro fließen nach Österreich
Mit Hilfe der renommierten "Marie Skłodowska-Curie Actions (MSCA) Postdoctoral Fellowships" der EU soll es Postdoc-Forschenden erm...

Technik
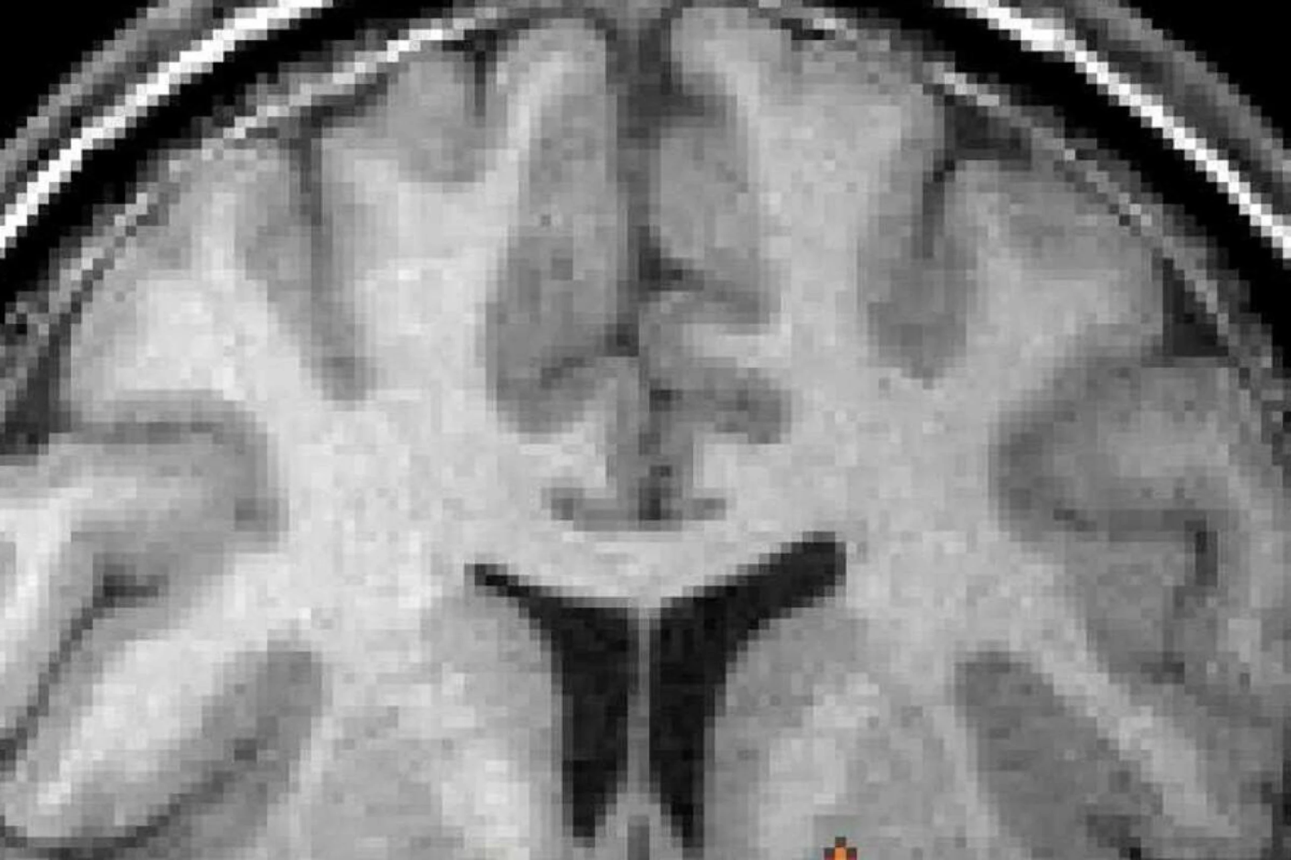
KI-Analyse von Hirntumoren
Ein neues, auf Künstlicher Intelligenz (KI) basierendes Analyseverfahren soll künftig ermöglichen, Hirntumoren mit hoher Genauigke...

Technik
Wasserflüsse mit KI besser vorhersagen
Künstliche Intelligenz (KI) bietet sich heute schon in den verschiedensten Bereichen als Werkzeug für verbesserte Untersuchungsmet...

Technik
Forscher wollen mit KI und Einstein-Teleskop auf Schwarze-Loch-Jagd gehen
In den 2030er-Jahren soll in Europa ein neuer Gravitationswellen-Detektor namens "Einstein" entstehen. Mit ihm sollen die Signale ...

Technik
Michelangelo soll Werke vor Tod doch nicht verbrannt haben
Mindestens 20 bisher unbekannte oder nicht eindeutig zugeordnete Arbeiten könnten demnach dem Meister zugeschrieben werden.